ČIŠĆENJE ZUBNOG KAMENCA - CENTRODENT - stomatološka ordinacija - Rijeka - Kastav

O proizvodu / usluzi

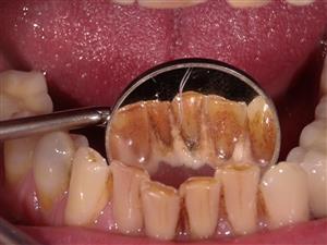
Čišćenje zubnog kamenca u Dentalnom centru Centrodent u Rijeci važan je dio prevencije bolesti zubi i desni. Profesionalno uklanjanje zubnog kamenca i plaka smanjuje rizik od gingivitisa, parodontitisa i karijesa te doprinosi dugoročnom očuvanju oralnog zdravlja.

U Dentalnom centru Centrodent koristimo suvremene ultrazvučne uređaje i ručne instrumente kako bismo temeljito uklonili naslage kamenca iznad i ispod razine zubnog mesa. Po potrebi se provodi poliranje zuba radi uklanjanja pigmentacija i zaglađivanja površine cakline.

Redovito profesionalno čišćenje zubnog kamenca pomaže u kontroli upale desni, smanjuje krvarenje i doprinosi svježem dahu. Pacijenti dobivaju individualne upute za održavanje oralne higijene kod kuće, prilagođene njihovom parodontnom statusu.

Odabirom Dentalnog centra Centrodent za uklanjanje zubnog kamenca birate prevenciju, stručni pristup i terapiju u skladu s pravilima struke.

https://www.centrodent.hr/uklanjanje-zubnog-kamenca/
Cijena: 70,00 EUR
ALL ON 4
All-on-4 terapija u Dentalnom centru Centrodent u Rijeci predstav...
SAZNAJ VIŠE
CBCT 3D SNIMANJE ZUBA
CT snimanje čeljusti (3D CBCT) u Dentalnom centru Centrodent u Ri...
SAZNAJ VIŠE
LIJEČENJE ZUBA
iječenje zuba u Dentalnom centru Centrodent u Rijeci provodi se s...
SAZNAJ VIŠE
ORTOPAN - PANORAMSKI SNIMAK
Ortopan snimanje u Dentalnom centru Centrodent u Rijeci predstavl...
SAZNAJ VIŠE
ZUBNE KRUNICE
Zubne krunice u Dentalnom centru Centrodent u Rijeci predstavljaj...
SAZNAJ VIŠE
ZUBNE LJUSKICE
Zubne ljuskice u Dentalnom centru Centrodent u Rijeci predstavlja...
SAZNAJ VIŠE
ZUBNE PLOMBE
Plombe (kompozitni ispuni) u Dentalnom centru Centrodent u Rijeci...
SAZNAJ VIŠE
ZUBNE PROTEZE
Zubne proteze u Dentalnom centru Centrodent u Rijeci predstavljaj...
SAZNAJ VIŠE
ZUBNE PROTEZE NA IMPLANTATIMA
Zubne proteze na implantatima u Dentalnom centru Centrodent u Rij...
SAZNAJ VIŠE
ZUBNI IMPLANTATI
Zubni implantati u Dentalnom centru Centrodent u Rijeci predstavl...
SAZNAJ VIŠE

Kontakt (zatraži ponudu) i lokacija
CENTRODENT - stomatološka ordinacija - Rijeka

X
Kolačići

Kolačići ("cookies") omogućuju pravilno funkcioniranje ove stranice. Daljnjim korištenjem ove stranicu prihvaćate korištenje cookies (kolačića) i pravila o privatnosti. Više o tome pročitajte ovdje